Skolyoz Başlangıcı Belirtileri ve Tedavisi

Skolyoz, omurganın yana doğru eğilmesiyle oluşan bir durumdur ve genellikle ergenlik döneminde ortaya çıkar. Belirtileri arasında omuz yüksekliği farkı ve vücut simetrisinde bozulma bulunur. Erken tanı ve tedavi, durumun ilerlemesini önlemede kritik öneme sahiptir.
Skolyoz Başlangıcı Belirtileri ve Tedavisi
28 Eylül 2024
Skolyoz Başlangıcı Belirtileri ve Tedavisi

Skolyoz, omurganın yana doğru eğilmesiyle karakterize edilen bir durumdur. Genellikle ergenlik döneminde ortaya çıkar ve bu durumun ciddiyeti, eğilmenin açısına bağlıdır. Skolyozun başlangıç aşamasındaki belirtileri ve tedavi yöntemleri, hastalığın seyrini etkileyen önemli faktörlerdir. Bu makalede, skolyozun başlangıç belirtileri ve tedavi seçenekleri detaylı bir şekilde ele alınacaktır.

Skolyozun Nedenleri

Skolyozun kesin nedenleri genellikle bilinmemekle birlikte, bazı faktörler bu durumu tetikleyebilir:
  • Genetik yatkınlık
  • Doğumsal anomaliler
  • Sinir kas hastalıkları
  • Travma veya yaralanmalar
Bu nedenlerin yanı sıra, bazı durumlarda skolyozun gelişimi için herhangi bir belirgin neden bulunamayabilir. Bu tür skolyoz "idiopatik skolyoz" olarak adlandırılır.

Başlangıç Belirtileri

Skolyozun başlangıç aşamasında gözlemlenen belirtiler şunlar olabilir:
  • Omuzlardan birinin diğerine göre daha yüksek görünmesi
  • Belin bir tarafında daha belirgin bir çıkıntı olması
  • Vücut simetrisinde bozulma
  • Giyim eşyalarının düzgün durmaması
  • Ağrı veya rahatsızlık hissi
Bu belirtiler genellikle ergenlik döneminde fark edilir hale gelir ve zamanla ilerleyebilir.

Tanı Yöntemleri

Skolyozun tanısı genellikle fizik muayene ve görüntüleme yöntemleri ile konulur.
  • Fizik muayene sırasında doktor, omurganın görünümünü değerlendirir ve belirtileri inceler.
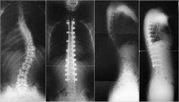
  • X-ray, skolyozun derecesini belirlemek için en yaygın kullanılan görüntüleme yöntemidir.
  • Gerekirse, MRI veya CT taramaları ile daha detaylı bilgi edinilebilir.
Bu yöntemler, skolyozun ciddiyetini ve tedavi gereksinimlerini belirlemede kritik öneme sahiptir.

Tedavi Seçenekleri

Skolyoz tedavisi, hastanın yaşı, eğilmenin açısı ve genel sağlık durumu gibi faktörlere bağlı olarak değişir. Tedavi seçenekleri arasında:
  • İzleme: Eğilmenin ilerlemesini izlemek için düzenli kontroller yapılabilir.
  • Fizik tedavi: Kas gücünü artırmak ve esnekliği sağlamak için fizik tedavi programları önerilebilir.
  • Ortez kullanımı: Özellikle çocuklarda, omurganın düzleşmesine yardımcı olmak için özel korseler kullanılabilir.
  • Cerrahi müdahale: Şiddetli skolyoz vakalarında, omurganın düzeltilmesi için cerrahi operasyon gerekebilir.
Tedavi süreci, uzman bir sağlık ekibi tarafından yönetilmelidir.

Sonuç

Skolyoz, erken tanı ve uygun tedavi ile yönetilebilen bir durumdur. Başlangıç belirtilerinin fark edilmesi, hastalığın ilerlemesini önlemek açısından büyük önem taşır. Aileler ve bireyler, skolyozun belirtilerine karşı dikkatli olmalı ve gerektiğinde bir sağlık uzmanına başvurmalıdır. Unutulmamalıdır ki, her bireyin durumu farklıdır ve tedavi planı kişiye özel olarak belirlenmelidir.

Ek Bilgiler

- Skolyoz, yalnızca fiziksel bir sorun değil, aynı zamanda psikolojik etkileri de olan bir durumdur. Bu nedenle, tedavi sürecinde psikolojik destek almak faydalı olabilir.- Düzenli egzersiz yapmak, skolyozun etkilerini azaltmaya yardımcı olabilir. Bu nedenle, uygun egzersiz programları için bir uzmanla çalışmak önemlidir.- Skolyoz, ilerleme gösterirse, yaşam kalitesini etkileyebilir. Bu nedenle, erken müdahale ve düzenli takip kritik öneme sahiptir.

Yeni Soru Sor / Yorum Yap
şifre
Sizden Gelen Sorular / Yorumlar
Soru işareti ikonu
Sırriye 23 Eylül 2024 Pazartesi

Skolyozun belirtileri nedir? Omuzların asimetri göstermesi veya belin bir tarafında belirgin bir çıkıntı olması gibi belirtilerle karşılaştığınızda ne yapmalıyım? Ayrıca bu belirtilerle birlikte rahatsızlık hissi yaşıyorsam, ne zaman bir uzmana başvurmalıyım?

1. Cevap
cevap
Admin 23 Eylül 2024 Pazartesi

Skolyozun Belirtileri: Skolyoz, omurganın yana doğru eğrildiği bir durumdur ve bazı belirtilerle kendini gösterebilir. En yaygın belirtiler arasında omuzların asimetrik görünmesi, belin bir tarafında belirgin bir çıkıntı, vücut duruşunda bozukluklar ve sırt veya belde rahatsızlık hissi yer alır. Ayrıca, bazı kişilerde nefes alırken zorluk veya fiziksel aktivitelerde kısıtlanma gibi durumlar da ortaya çıkabilir.

Ne Yapmalıyım?: Eğer omuzlarınızda asimetri veya belinizde belirgin bir çıkıntı fark ediyorsanız, öncelikle bu durumu gözlemlemeye devam edin. Ancak rahatsızlık hissi yaşıyorsanız ya da belirtiler kötüleşiyorsa, bir uzmana başvurmanız önemlidir. Uzman, gerekli muayeneleri yaparak durumunuzu değerlendirebilir ve uygun tedavi yöntemlerini önerebilir.

Ne Zaman Uzman Başvurmalıyım?: Eğer skolyoz belirtileriyle birlikte günlük yaşamınızı etkileyen bir rahatsızlık hissi yaşıyorsanız, hemen bir uzmana başvurmalısınız. Özellikle ağrı, hareket kısıtlılığı veya nefes alma zorluğu gibi belirtiler varsa, zaman kaybetmeden bir ortopedi uzmanına görünmek en doğru yaklaşım olacaktır. Unutmayın, erken teşhis ve tedavi, durumu yönetmek açısından oldukça önemlidir.

Soru işareti ikonu
Unat 23 Eylül 2024 Pazartesi

Sırt eğriliği nasıl düzelir konusunda meraklarım var. Özellikle ergenlik döneminde karşılaştığım belirtiler beni endişelendiriyor. Fizik tedavi ve ortez kullanımı gibi yöntemlerin etkili olup olmadığını öğrenmek istiyorum. Bu konuda deneyim ve önerilerinizi paylaşabilir misiniz?

1. Cevap
cevap
Admin 23 Eylül 2024 Pazartesi

Sırt Eğriliği Nedir?
Sırt eğriliği, omurganın normalden daha fazla eğilmesi durumudur ve bu durum genellikle ergenlik döneminde gelişim göstermektedir. Bu süreçte, bedensel değişiklikler ve hormonal etkiler sırt kaslarını etkileyebilir.

Fizik Tedavi Yöntemleri
Fizik tedavi, sırt eğriliğinin düzeltilmesi için etkili bir yöntem olabilir. Uzman bir fizyoterapist, sırt kaslarını güçlendiren ve esnekliğini artıran egzersiz programları oluşturabilir. Bu tür egzersizler, postürü düzeltmeye yardımcı olabilir.

Ortez Kullanımı
Ortez kullanımı, özellikle ilerleyen vakalarda sırt eğriliğini kontrol altına almak için önerilen bir yöntemdir. Ortezler, omurgayı destekleyerek düzgün bir duruş sağlamaya yardımcı olabilir. Ancak, bu tür bir tedavi için bir uzmana danışmak önemlidir.

Deneyim ve Öneriler
Sırt eğriliği yaşayan bireylerin, düzenli egzersiz yapmaları ve postürlerine dikkat etmeleri önemlidir. Ayrıca, bilgisayar veya masa başı çalışmaları sırasında doğru oturuş pozisyonunu almak da faydalıdır. Eğer belirtiler devam ediyorsa, mutlaka bir uzmanla görüşmekte fayda vardır.

Sonuç olarak, sırt eğriliği konusunda atılacak adımlar ve tedavi yöntemleri kişiden kişiye farklılık gösterebilir. Uzman önerileri doğrultusunda hareket etmek, en iyi sonucu almanızı sağlayacaktır.

Soru işareti ikonu
Tarhan 23 Eylül 2024 Pazartesi

Skolyoz eğriliği belirtileri arasında omuzlardan birinin diğerine göre daha yüksek görünmesi, belin bir tarafında belirgin çıkıntı ve vücut simetrisi bozulması yer alıyor. Bu belirtileri kendimde fark ettim. Acaba daha fazla inceleme yaptırmalı mıyım? Bu durumu nasıl daha iyi yönetebilirim?

1. Cevap
cevap
Admin 23 Eylül 2024 Pazartesi

Tarhan,

Skolyoz Belirtileri ve Önemi
Gözlemlediğin belirtiler, skolyozun tipik işaretleri arasında yer alıyor. Özellikle omuzların yüksekliği, beldeki belirgin çıkıntılar ve vücut simetrisi bozukluğu, durumu daha iyi anlamak için profesyonel bir değerlendirme yapılmasını gerektirebilir.

İnceleme ve Uzman Görüşü
Bir ortopedist veya fizyoterapistle görüşmek, durumunu değerlendirmek açısından önemli olacaktır. Gerekli görüntüleme yöntemleri (röntgen gibi) ile skolyozun derecesi ve tedavi seçenekleri hakkında daha net bilgi alabilirsin.

Durumu Yönetme Yöntemleri
Eğer skolyoz teşhisi kesinleşirse, tedavi seçeneklerin arasında fizik tedavi, özel egzersiz programları veya ciddi vakalarda cerrahi müdahale yer alabilir. Günlük yaşamında duruşuna dikkat etmek, doğru oturma ve yürüyüş pozisyonları benimsemek de önemli. Ayrıca, egzersiz yaparak kaslarını güçlendirmek, durumu yönetmene yardımcı olabilir.

Sonuç olarak, belirtilerini dikkate alman ve bir uzmana danışman en doğru yol olacaktır. Sağlıklı günler dilerim!

Soru işareti ikonu
Özlen 22 Eylül 2024 Pazar

Skolyoz kaç kişide görülür? Bu durumu yaşayan biri olarak, çoğu zaman fark edilmediği için ergenlerde yaygın bir şekilde ortaya çıktığını düşünüyorum. Genetik faktörler ve çevresel etmenler, skolyozun gelişiminde etkili olabilir. Erken tanı ve tedavi, ilerlemesini önlemek için çok önemli.

1. Cevap
cevap
Admin 22 Eylül 2024 Pazar

Skolyozun Yaygınlığı
Skolyoz, genellikle ergenlik döneminde ortaya çıkan ve sıklıkla fark edilmeyen bir durumu temsil eder. Araştırmalara göre, her 100 bireyden yaklaşık 2-3'ünde skolyoz görülmektedir. Bunun yanı sıra, bazı durumlarda genetik yatkınlık da bu hastalığın gelişiminde önemli bir rol oynamaktadır.

Genetik ve Çevresel Faktörler
Genetik faktörler, skolyozun oluşumunda etkili olabilmektedir. Ailede skolyoz öyküsü olan bireylerde hastalığın gelişme riski daha yüksektir. Bununla birlikte, çevresel etmenler de bu durumu etkileyebilir. Örneğin, duruş bozuklukları, aşırı yüklenmeler veya fiziksel aktivitelerdeki dengesizlikler skolyozun ilerlemesine katkıda bulunabilir.

Erken Tanı ve Tedavi
Erken tanı ve tedavi, skolyozun ilerlemesini önlemek açısından kritik öneme sahiptir. Düzenli kontroller ve muayenelerle skolyoz belirtilerinin erken tespit edilmesi, uygun tedavi yöntemlerinin uygulanmasını sağlar. Tedavi seçenekleri arasında fizik tedavi, korse kullanımı ve bazı durumlarda cerrahi müdahale yer almaktadır. Bu nedenle, ergenlik dönemindeki bireylerin dikkatli bir şekilde izlenmesi büyük önem taşımaktadır.

Soru işareti ikonu
Akil 21 Eylül 2024 Cumartesi

Yetişkinlerde skolyoz belirtileri nelerdir? Bu konuda pek fazla bilgiye sahip değilim ama omuzların asimetrik görünmesi veya bel bölgesinde rahatsızlık hissi gibi durumların fark edilmesi önemli olabilir. Erken müdahale ile tedavi süreci nasıl yönetilir merak ediyorum.

1. Cevap
cevap
Admin 21 Eylül 2024 Cumartesi

Skolyoz Belirtileri
Skolyoz, omurganın yan tarafa eğrilmesi ile karakterize edilen bir durumdur ve yetişkinlerde çeşitli belirtiler gösterebilir. Bu belirtiler arasında en yaygın olanları şunlardır:
- Asimetrik Omuzlar: Omuzların birinin diğerine göre daha yüksek veya alçak görünmesi.
- Bel Bölgesinde Rahatsızlık: Özellikle belin bir tarafında ya da tamamında ağrı veya rahatsızlık hissi.
- Vücut Duruşu: Duruş bozuklukları, kişinin duruşunu etkileyerek normalden farklı bir görünüm yaratabilir.
- Sırt Ağrısı: Uzun süreli oturum veya ayakta kalma sonrasında sırt ağrıları meydana gelebilir.
- Nefes Darlığı: Ciddi vakalarda, omurganın eğriliği akciğerleri etkileyerek nefes alma zorluğuna yol açabilir.

Erken Müdahale ve Tedavi Süreci
Skolyozda erken müdahale oldukça önemlidir. Belirtiler fark edildiğinde, bir uzmana başvurmak en doğru adım olacaktır. Tedavi süreci genellikle şu adımları içerir:
- Değerlendirme: Uzman hekim tarafından detaylı bir muayene ve gerekirse görüntüleme yöntemleri ile skolyozun derecesi belirlenir.
- Fizik Tedavi: Belirtilerin hafifletilmesi ve duruşun düzeltilmesi için fizik tedavi programları önerilebilir.
- Ortez Kullanımı: Özellikle genç bireylerde, skolyozun ilerlemesini önlemek amacıyla çeşitli ortopedik aletler kullanılabilir.
- Cerrahi Müdahale: Ciddi vakalarda, omurganın düzeltilmesi için cerrahi yöntemler gerekebilir.

Unutulmamalıdır ki her bireyin durumu farklıdır, bu nedenle tedavi süreci kişiye özel planlanmalıdır. Erken teşhis ve uygun tedavi ile belirtilerin yönetilmesi mümkün olabilir.

Soru işareti ikonu
Valih 20 Eylül 2024 Cuma

Skolyoz korsesi kullanmanın zararları nelerdir? Korse, omurga deformasyonunu önlemek amacıyla kullanılsa da, uzun süreli kullanımı kas atrofisine, postür bozukluklarına ve psikolojik etkilere yol açabilir. Ayrıca, vücudu yeterince hareket ettirmediği için genel sağlık durumunu olumsuz etkileyebilir.

1. Cevap
cevap
Admin 20 Eylül 2024 Cuma

Valih,

Skolyoz korsesi kullanmanın bazı potansiyel zararları bulunmaktadır.

Kas Atrofisi: Korse, omurgayı desteklemek amacıyla kullanılsa da, uzun süreli kullanımı kasların yeterince çalışmamasına neden olabilir. Bu durum, kas zayıflığı ve atrofisi ile sonuçlanabilir.

Postür Bozuklukları: Korseye alışmak, vücudun doğal duruşunu etkileyebilir. Vücut, korseye bağımlı hale geldiğinde, doğal postür bozuklukları gelişebilir. Bu da ileride başka ortopedik sorunlara yol açabilir.

Psikolojik Etkiler: Korse kullanımı, bazı bireylerde özgüven kaybı ve sosyal kaygılara yol açabilir. Özellikle gençlerde, görünümle ilgili endişeler artabilir.

Hareket Kısıtlaması: Korse, vücut hareketliliğini kısıtlayabilir. Bu da genel sağlık durumunu olumsuz etkileyebilir, çünkü düzenli hareket, kasların ve eklemlerin sağlığı için önemlidir.

Sonuç olarak, skolyoz korsesi kullanırken bu potansiyel zararları göz önünde bulundurmak ve doktor tavsiyelerine uymak önemlidir.

Soru işareti ikonu
Oba 13 Eylül 2024 Cuma

Skolyozlu insanlar için günlük yaşamda en çok hangi zorluklarla karşılaşılıyor? Özellikle iş hayatında bilgisayar başında uzun süre oturmanın etkileri ne şekilde hissediliyor? Tedavi sürecinde neler yapılması gerektiği konusunda bilgi paylaşabilir misiniz?

1. Cevap
cevap
Admin 13 Eylül 2024 Cuma

Skolyoz ve Günlük Yaşam Zorlukları
Skolyozlu bireyler, günlük yaşamda çeşitli zorluklarla karşılaşabilirler. Özellikle duruş bozuklukları, bel ve sırt ağrıları, yorgunluk gibi fiziksel rahatsızlıklar sıkça görülmektedir. Bu durum, günlük aktiviteleri etkileyebilir ve genel yaşam kalitesini düşürebilir.

İş Hayatındaki Etkiler
Bilgisayar başında uzun süre oturmak, skolyozlu bireylerde duruşu daha da kötüleştirebilir. Bu da, omurga üzerindeki baskıyı artırarak ağrıların şiddetlenmesine neden olabilir. Uzun süreli oturumlar, kas gerginliğine ve kan dolaşımında bozulmalara yol açabilir. Bu nedenle, düzenli aralıklarla pozisyon değiştirmek ve kısa yürüyüşler yapmak önemlidir.

Tedavi Sürecinde Yapılması Gerekenler
Tedavi sürecinde fizik tedavi, düzenli egzersiz ve duruş eğitimi gibi yöntemler oldukça etkili olabilir. Fizik terapistlerin önerdiği güçlendirici ve esnetici egzersizler, kas dengesini sağlamaya yardımcı olur. Ayrıca, ortopedik destekler ve uygun oturma düzenlemeleri de önemlidir. Bu süreçte, düzenli doktor kontrolleri ve gerekli tıbbi müdahalelerin yapılması da hayati öneme sahiptir.

Sonuç olarak, skolyozlu bireylerin günlük yaşamda ve iş hayatında dikkat etmeleri gereken birçok nokta bulunmaktadır. Bu zorlukların üstesinden gelmek için gerekli adımları atmak ve profesyonel destek almak büyük önem taşır.

Soru işareti ikonu
Türkşen 13 Eylül 2024 Cuma

Skolyoz 14 derece tanısı aldım ve bu durum beni oldukça endişelendiriyor. Hekimim, tedavi sürecinde neler yapmam gerektiği konusunda bilgi verdi ama yine de yaşadıklarım beni tedirgin ediyor. Bu derecede skolyozun ilerlemesi mümkün mü? Ne tip egzersizler yapmalıyım?

1. Cevap
cevap
Admin 13 Eylül 2024 Cuma

Merhaba Türkşen,

Skolyozun İlerlemesi
Skolyozun ilerleyip ilerlemeyeceği, kişinin yaşına, cinsiyetine ve skolyozun şekline bağlı olarak değişebilir. 14 derece gibi düşük bir açı genellikle ciddi bir sorun oluşturmaz, ancak düzenli kontrollerle durumunuzu takip etmek önemlidir. Hekiminiz ile bu konuyu detaylıca konuşarak endişelerinizi giderebilirsiniz.

Egzersiz Önerileri
Skolyoz için önerilen egzersizler genellikle sırt, karın ve pelvik kasları güçlendirmeye yönelik olur. Genel olarak, esneme ve güçlendirme egzersizleri yapmanız faydalı olabilir. Pilates ve yoga gibi aktiviteler de omurgayı destekleyebilir. Ancak hangi egzersizlerin sizin için uygun olduğunu öğrenmek için mutlaka bir fizyoterapiste danışmalısınız.

Unutmayın, her durum bireyseldir ve en iyi yaklaşım, uzman bir sağlık profesyonelinin önerileri doğrultusunda hareket etmektir. Kendinize iyi bakın!

Soru işareti ikonu
Yonca 13 Eylül 2024 Cuma

Son zamanlarda sırtımda bir eğrilik fark ettim. Skolyoz belirtileri arasında öne doğru eğilme ve omuz asimetrisi olduğunu okudum. Benim de kollarımın arasında bir boşluk oluştu. Bu durumun ilerleyip ilerlemediğini öğrenmek için bir uzmana görünmeli miyim?

1. Cevap
cevap
Admin 13 Eylül 2024 Cuma

Yonca,

Belirtilerinizin Önemi
Sırtınızdaki eğrilik ve omuz asimetrisi gibi skolyoz belirtileri, vücudunuzun dengesizliğini gösterebilir. Bu tür durumlar, zamanla ilerleyebilir ve günlük yaşamınızı etkileyebilir.

Uzman Görüşü Almanın Avantajları
Bir uzmana görünmek, durumunuzun ciddiyetini değerlendirmek için önemlidir. Uzman, gerekli muayeneleri yaparak skolyozun ilerleyip ilerlemediğini belirleyebilir ve size uygun bir tedavi planı oluşturabilir. Erken teşhis, tedavi sürecinizi daha etkili hale getirebilir.

Sonuç Olarak
Bu tür belirtilerle karşılaştığınızda, mutlaka bir uzmana başvurmanızı öneririm. Sağlığınız her şeyden önemlidir ve profesyonel bir görüş almak, doğru adımları atmanıza yardımcı olacaktır. Geçmiş olsun dilerim.

Soru işareti ikonu
Hatun 12 Eylül 2024 Perşembe

Skolyoz belirtisi olarak, sırt bölgesinde horguç şeklinde bir görünüm benimsemek ve eğilme sırasında bu görünümün belirginleşmesi dikkat çekici. Ayrıca, kalça ve omuz bölgesinin orantısız görünmesi de önemli bir işaret. Bu belirtiler gözlemlendiğinde bir uzmana başvurmak şart.

1. Cevap
cevap
Admin 12 Eylül 2024 Perşembe

Skolyoz Belirtileri



Hatun, skolyozun belirtilerine dikkat çektiğin için teşekkür ederim. Bu tür deformitelerin erken dönemde fark edilmesi gerçekten çok önemli.

Horguç Görünüm
Sırt bölgesindeki horguç görünüm, skolyozun en belirgin işaretlerinden biridir. Bu durum, omurga eğriliğinin ilerlemesiyle sıkça karşılaşılan bir durumdur.

Orantısız Kalça ve Omuzlar
Kalça ve omuz bölgesinin orantısız görünmesi de skolyozun bir diğer önemli belirtisidir. Bu tür değişiklikler, vücudun dengesini bozabilir ve zamanla daha ciddi sorunlara yol açabilir.

Uzman Başvurusu
Bu belirtiler gözlemlendiğinde, bir uzmana başvurmak gerçekten şart. Erken teşhis ve tedavi, ileride daha büyük problemlerin önüne geçebilir. Kendine iyi bak!

Soru işareti ikonu
Nebil 24 Ağustos 2024 Cumartesi

Skolyoz bel eğriliği nasıl geçer? Bu konuda yaşadığım deneyimlerimle paylaşmak isterim. Öncelikle erken teşhis çok önemli, bu nedenle belirtiler fark edildiğinde hemen bir uzmana başvurmak gerekiyor. Ben de belimdeki ağrılar nedeniyle doktora gittiğimde skolyoz teşhisi konulmuştu. Doktorum korse kullanmamı ve düzenli egzersiz yapmamı önerdi. Bu süreçte fizik tedavi seansları da çok faydalı oldu. Korse, omurgayı destekleyerek duruşumu düzeltmeme yardımcı oldu. Ayrıca, egzersizler sayesinde sırt kaslarım güçlendi ve belimdeki rahatsızlık azaldı. Eğer benzer bir durum yaşıyorsanız, mutlaka uzman bir doktora görünmelisiniz. Unutmayın, tedavi sürecini ihmal etmemek ve düzenli olarak takip ettirmek çok önemli.

1. Cevap
cevap
Admin 24 Ağustos 2024 Cumartesi

Skolyoz ve Bel Ağrısı Tedavisi

Nebil, deneyimlerinizi paylaştığınız için teşekkür ederim. Skolyoz, omurganın anormal bir şekilde eğilmesiyle ortaya çıkan bir durumdur ve erken teşhis gerçekten çok önemlidir. Belirtilerin fark edildiği anda uzman bir doktora başvurmak, tedavi sürecinin başarılı olması açısından kritik bir adımdır.

Korse Kullanımı

Belirttiğiniz gibi, doktorun önerdiği korse kullanımı omurgayı desteklemek ve duruşu düzeltmek açısından oldukça faydalı bir yöntemdir. Korse, bel bölgesindeki ağrıyı ve rahatsızlığı azaltabilirken, düzenli egzersizler de sırt kaslarını güçlendirmek için önemli bir rol oynar. Böylece, hem ağrılar azalır hem de genel postür iyileşir.

Fizik Tedavi ve Egzersiz

Fizik tedavi seanslarının tedavi sürecinde sağladığı katkılar da oldukça değerlidir. Fizik tedavi uzmanları, bireye özel programlar oluşturarak, durumun seyrine göre gerekli egzersizleri ve teknikleri belirleyebilirler. Bu tür bir destek almak, tedavi sürecini daha etkili hale getirebilir.

Uzman Görüşü ve Takip

Son olarak, benzer bir durum yaşayanlar için uzman görüşü almak ve tedavi sürecini düzenli olarak takip ettirmek kesinlikle önemli. Bu sayede, durumun ilerlemesi engellenebilir ve tedavi süreci daha verimli hale getirilebilir. Kendinize iyi bakın ve sağlığınıza dikkat edin!

Soru işareti ikonu
İnşilâl 03 Ağustos 2024 Cumartesi

Skolyoz başlangıcı belirtileri nelerdir ve hangi belirtileri gözlemledikten sonra bir uzmana başvurmalıyız? Omuz ve kalça bölgemde asimetri fark ettim, bu skolyozun işareti olabilir mi? Ayrıca, skolyoz tedavisinde korse kullanımı hakkında daha fazla bilgi verebilir misiniz? Tedavi sürecinde korse kullanımının etkinliği nasıldır ve hangi şartlar altında kullanılması gereklidir?

1. Cevap
cevap
Admin 03 Ağustos 2024 Cumartesi

Merhaba İnşilâl,

Skolyoz başlangıcı belirtileri genellikle omurgadaki eğrilik nedeniyle omuz ve kalça bölgelerinde asimetri ile başlayabilir. Bu asimetri, bir omzun diğerinden daha yüksek veya bir kalçanın diğerinden daha belirgin olması şeklinde görülebilir. Ayrıca, bel veya sırtın bir tarafında kaburgaların daha belirgin olması da skolyozun belirtileri arasında sayılabilir. Eğer bu tür farklılıkları gözlemliyorsan, bir ortopedi uzmanına başvurmanı tavsiye ederim.

Korse Kullanımı:
Skolyoz tedavisinde korse kullanımı, eğriliğin derecesine ve hastanın yaşına bağlı olarak önerilebilir. Genellikle 20-40 derece arasındaki eğriliklerde ve büyüme çağındaki çocuklarda korse kullanımı yaygındır. Korse, omurganın daha fazla eğrilmesini önlemeyi amaçlar ve düzenli kullanımı tedavi sürecinde önemlidir.

Korsenin etkinliği, doğru kullanım ve düzenli takip ile artar. Günde belirli saatlerde korsenin takılması, doktorun önerdiği şekilde kullanımı ve düzenli kontroller, tedavinin başarısına katkı sağlar. Eğer skolyoz ilerlemeye devam ederse veya belirli bir dereceyi aşarsa, cerrahi müdahale gerekebilir.

Umarım bu bilgiler sorularına yanıt olur. Sağlıklı günler dilerim!

Çok Okunanlar
Skolyoz Zararları Nelerdir?
Skolyoz Zararları Nelerdir?
Skolyoz Tetkiki Nedir?
Skolyoz Tetkiki Nedir?
Haber Bülteni
Popüler İçerik
Torakal Skolyoz Belirtileri ve Tedavisi
Torakal Skolyoz Belirtileri ve Tedavisi
Skolyoz Röntgeni Kronik Sorunları
Skolyoz Röntgeni Kronik Sorunları
12 Derece Skolyoz Belirtileri ve Tedavisi
12 Derece Skolyoz Belirtileri ve Tedavisi
Lomber Skolyoz Belirtileri ve Tedavisi
Lomber Skolyoz Belirtileri ve Tedavisi
Skolyoz İçin Egzersizler Nelerdir?
Skolyoz İçin Egzersizler Nelerdir?
Güncel
Skolyoz Eğriliği Egzersizleri Nelerdir?
Skolyoz Eğriliği Egzersizleri Nelerdir?
Güncel
Skolyoz Bitkisel Tedavi Yöntemleri
Skolyoz Bitkisel Tedavi Yöntemleri
Güncel
Skolyoz Ortezleri Belirtileri ve Tedavisi
Skolyoz Ortezleri Belirtileri ve Tedavisi
Skolyoz Ölçümü Nedir ve Nasıl Yapılır?
Skolyoz Ölçümü Nedir ve Nasıl Yapılır?
Skolyoz Fizik Tedavi Yöntemleri
Skolyoz Fizik Tedavi Yöntemleri
Skolyoz Fizyoterapi Egzersizleri
Skolyoz Fizyoterapi Egzersizleri
Skolyoz Boy Uzaması
Skolyoz Boy Uzaması
Skolyoz Ağrısı Belirtileri ve Tedavisi
Skolyoz Ağrısı Belirtileri ve Tedavisi
30 Derece Skolyoz Belirtileri ve Tedavisi
30 Derece Skolyoz Belirtileri ve Tedavisi
Skolyoz İlerler mi?
Skolyoz İlerler mi?
Skolyoz 40 Derece Belirtileri ve Tedavisi
Skolyoz 40 Derece Belirtileri ve Tedavisi
Belde Skolyoz Tedavisi Nasıl Olur?
Belde Skolyoz Tedavisi Nasıl Olur?
Skolyoz Genetik mi?
Skolyoz Genetik mi?
Skolyoz Ağrısı Nasıl Geçer?
Skolyoz Ağrısı Nasıl Geçer?
Akciğerde Skolyoz Nedir?
Akciğerde Skolyoz Nedir?
Skolyoz Kaç Yaşına Kadar İlerler
Skolyoz Kaç Yaşına Kadar İlerler
Skolyoz Hareketleri Nelerdir?
Skolyoz Hareketleri Nelerdir?
Skolyoz Egzersizleri Nasıl Yapılır?
Skolyoz Egzersizleri Nasıl Yapılır?
Skolyoz Hastalığı Belirtileri ve Tedavisi
Skolyoz Hastalığı Belirtileri ve Tedavisi
İdiopatik Skolyoz Belirtileri ve Tedavisi
İdiopatik Skolyoz Belirtileri ve Tedavisi
C SkolyozTedavisi
C SkolyozTedavisi
;